See Real Results from Patients Just Like You

At FCOD, we believe that seeing real transformations from patients with similar concerns help you feel confident in the journey ahead. Our results showcase the wide, beautiful smiles we’ve helped create, reflecting the diverse needs and goals of our patients.

To make it easy for you to find cases that resonate with your own smile goals, we’ve organized our results into specific categories:

  • Real Patients, Real Smiles: Each case features actual patients treated by Dr. Herman, so you can see firsthand the level of care and expertise we provide.
  • Find Your Match: Explore different case categories to find results that address concerns similar to yours, whether it’s crowding, spacing, or bite alignment.
  • Confidence in Care: By viewing results that align with your own smile goals, you can gain confidence in our ability to deliver the results you desire.

Not sure what case you fit into? Schedule a free consult with Dr. Herman to review your concerns and treatment options!

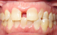
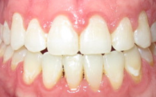
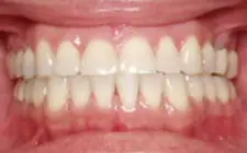
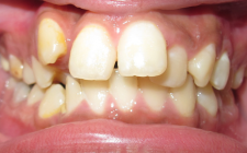
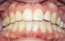
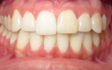
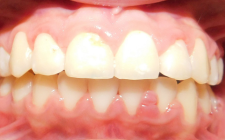
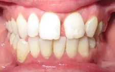
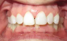
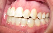
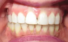
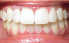
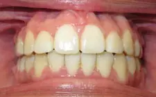
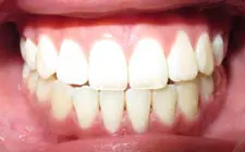
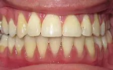
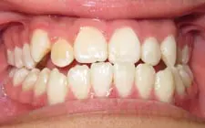
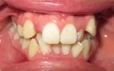
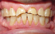
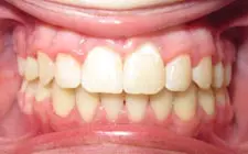
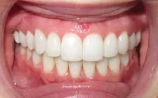
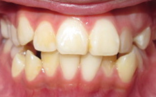
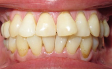
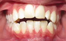
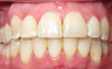
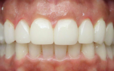
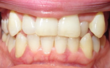
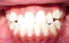
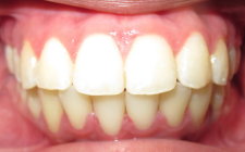
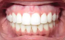
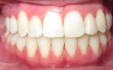
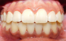
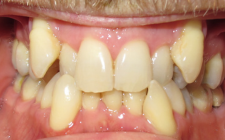
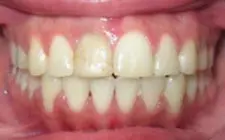
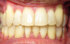
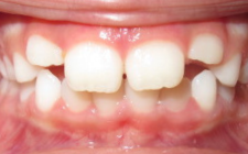
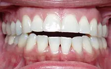
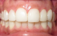
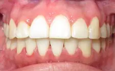
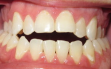
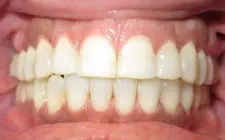
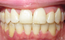
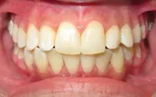
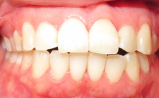
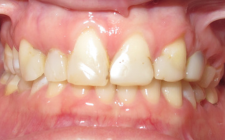
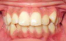
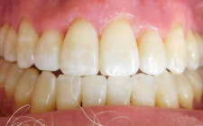
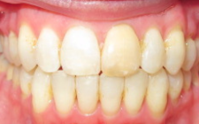
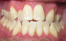
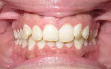
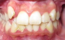
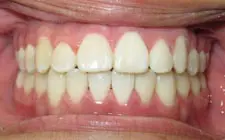
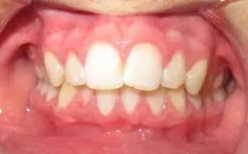
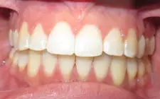
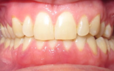
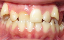
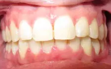
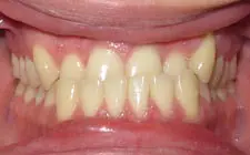
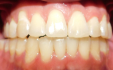
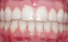
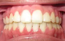
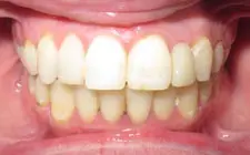
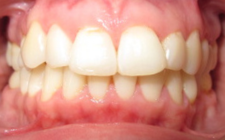
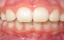
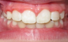
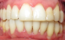
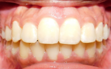
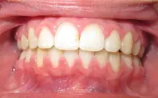
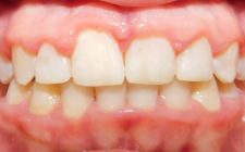
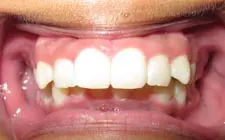
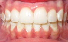
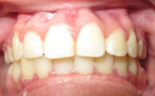
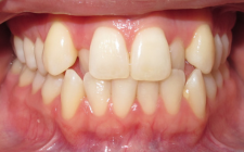
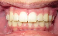
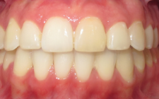
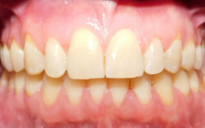
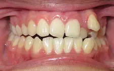
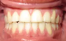
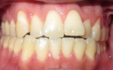
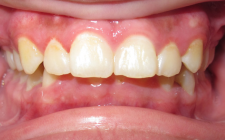
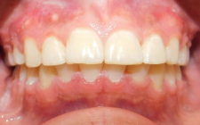
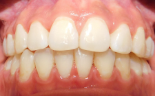
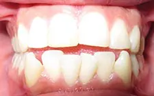
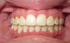
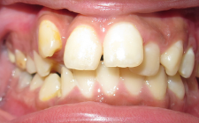
Normal Bite-Crooked Teeth

When you have crooked teeth, your bite is relatively normal and doesn’t require severe correcting. However, the teeth exhibit spacing or crowding creating a crooked appearance.

Patient 1
  • Four Corners Orthodontics & Dental - Before treatment
  • Four Corners Orthodontics & Dental - After treatment
  • Four Corners Orthodontics & Dental - Before treatment
  • Four Corners Orthodontics & Dental - After treatment
Patient 2
  • Four Corners Orthodontics & Dental - Before treatment
  • Four Corners Orthodontics & Dental - After treatment
  • Four Corners Orthodontics & Dental - Before treatment
  • Four Corners Orthodontics & Dental - After treatment
Patient 3
  • Four Corners Orthodontics & Dental - Before treatment
  • Four Corners Orthodontics & Dental - After treatment
  • Four Corners Orthodontics & Dental - Before treatment
  • Four Corners Orthodontics & Dental - After treatment
Patient 4
  • Four Corners Orthodontics & Dental - Before treatment
  • Four Corners Orthodontics & Dental - After treatment
  • Four Corners Orthodontics & Dental - Before treatment
  • Four Corners Orthodontics & Dental - After treatment
Patient 5
  • Casey Cline Before-Normal Bite
  • Casey Cline After-Normal Bite
  • Casey Cline Before- Teeth Normal Bite
  • Casey Cline After- Teeth Normal Bite
Patient 6
  • Kiona Before-Normal Bite
  • Kiona After-Normal Bite
  • Kiona Before- Normal Bite
  • Kiona After- Normal Bite
Patient 7
  • Lakyara Before-Normal Bite
  • Lakyara After-Normal Bite
  • Lakyara Before- Teeth Normal Bite
  • Lakyara After- Teeth Normal Bite
Patient 8
  • Mackenzie- Before Normal Bite
  • Mackenzie After-Normal Bite
  • Mackenzie Before- Teeth Normal Bite
  • Mackenzie After- Teeth Normal Bite

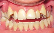
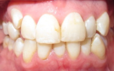
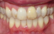
Overbite

An overbite, or deep bite, is when the front teeth cover the lower teeth too much. An excessive overbite leads to wearing down of the teeth and may even cause the bottom teeth to bite into the roof of the mouth.

Patient 1
  • Four Corners Orthodontics & Dental - Before treatment
  • Four Corners Orthodontics & Dental - After treatment
  • Four Corners Orthodontics & Dental - Before treatment
  • Four Corners Orthodontics & Dental - After treatment
Patient 2
  • Four Corners Orthodontics & Dental - Before treatment
  • Four Corners Orthodontics & Dental - After treatment
  • Four Corners Orthodontics & Dental - Before treatment
  • Four Corners Orthodontics & Dental - After treatment
Patient 3
  • Four Corners Orthodontics & Dental - Before treatment
  • Four Corners Orthodontics & Dental - After treatment
  • Four Corners Orthodontics & Dental - Before treatment
  • Four Corners Orthodontics & Dental - After treatment
Patient 4
  • Four Corners Orthodontics & Dental - Before treatment
  • Four Corners Orthodontics & Dental - After treatment
  • Four Corners Orthodontics & Dental - Before treatment
  • Four Corners Orthodontics & Dental - After treatment
Patient 5
  • Dishaum J Before-OverBite
  • Dishaum J After-OverBite
  • Dishaum J Before- Overbite
  • Dishaum J After- Overbite

Underbite

In an underbite, the lower jaw is longer than the upper jaw, which causes the lower teeth to protrude in front of the upper teeth. It is best to diagnose this problem early.

Patient 1
  • Four Corners Orthodontics & Dental - Before treatment
  • Four Corners Orthodontics & Dental - After treatment
  • Four Corners Orthodontics & Dental - Before treatment
  • Four Corners Orthodontics & Dental - After treatment
Patient 2
  • Four Corners Orthodontics & Dental - Before treatment
  • Four Corners Orthodontics & Dental - After treatment
  • Four Corners Orthodontics & Dental - Before treatment
  • Four Corners Orthodontics & Dental - After treatment
Patient 3
  • Four Corners Orthodontics & Dental - Before treatment
  • Four Corners Orthodontics & Dental - After treatment
  • Four Corners Orthodontics & Dental - Before treatment
  • Four Corners Orthodontics & Dental - After treatment
Patient 4
  • Four Corners Orthodontics & Dental - Before treatment
  • Four Corners Orthodontics & Dental - After treatment
  • Four Corners Orthodontics & Dental - Before treatment
  • Four Corners Orthodontics & Dental - After treatment
Patient 5
  • Shyla P Before-Underbite
  • Shyla P After- Teeth Underbite
  • Shyla P Before- Teeth Underbite
  • Shyla P After- Teeth Underbite

Openbite

The common result of thumb sucking or tongue thrusting, an open bite, is when you can actually stick your tongue between your teeth while biting down. An open bite is a cosmetic problem, but it can also cause chewing problems.

Patient 1
  • Four Corners Orthodontics & Dental - Before treatment
  • Four Corners Orthodontics & Dental - After treatment
  • Four Corners Orthodontics & Dental - Before treatment
  • Four Corners Orthodontics & Dental - After treatment
Patient 2
  • Four Corners Orthodontics & Dental - Before treatment
  • Four Corners Orthodontics & Dental - After treatment
  • Four Corners Orthodontics & Dental - Before treatment
  • Four Corners Orthodontics & Dental - After treatment
Patient 3
  • Four Corners Orthodontics & Dental - Before treatment
  • Four Corners Orthodontics & Dental - After treatment
  • Four Corners Orthodontics & Dental - Before treatment
  • Four Corners Orthodontics & Dental - After treatment
Patient 4
  • Four Corners Orthodontics & Dental - Before treatment
  • Four Corners Orthodontics & Dental - After treatment
  • Four Corners Orthodontics & Dental - Before treatment
  • Four Corners Orthodontics & Dental - After treatment
Patient 5
Patient 6
  • Arius Before-Open Bite
  • Arius After-Open Bite
  • Arius Before-Teeth Open Bite
  • Arius After-Teeth Open Bite

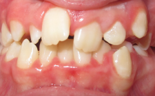
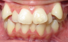
Crowding

Crowding occurs when there isn’t enough space in the mouth for teeth to align properly, leading to overlapping or crooked teeth. Our orthodontic solutions effectively address crowding, creating the space needed for a straight and healthy smile.

Class III Non Surgery - Patient 1
Patient 2
Class I Crowded - Patient 3
Patient 4
Patient 5
  • Kamali Before Face-Crowding
  • Kamali After Face-Crowding
  • Kamali Before-Crowding
  • Kamali Before-Crowding

Brace Lift

Orthodontic treatment isn’t just for kids and teens. Getting braces as an adult can make you look years younger! Dr. Herman can give you his signature “Brace Lift.”

Patient 1
  • Four Corners Orthodontics & Dental - Before treatment
  • Four Corners Orthodontics & Dental - After treatment
  • Four Corners Orthodontics & Dental - Before treatment
  • Four Corners Orthodontics & Dental - After treatment
Patient 2
  • Four Corners Orthodontics & Dental - Before treatment
  • Four Corners Orthodontics & Dental - After treatment
  • Four Corners Orthodontics & Dental - Before treatment
  • Four Corners Orthodontics & Dental - After treatment
Patient 3
  • Four Corners Orthodontics & Dental - Before treatment
  • Four Corners Orthodontics & Dental - After treatment
  • Four Corners Orthodontics & Dental - Before treatment
  • Four Corners Orthodontics & Dental - After treatment
Patient 4
Patient 5
Patient 6
Patient 7
Patient 8
  • Linda Markle Before-Bracelift
  • Linda Markle After-Bracelift
  • Linda Markle Before-Teeth Bracelift
  • Linda Markle After-Teeth Bracelift

Invisalign

Invisalign offers a discreet and comfortable solution for straightening teeth, using clear aligners that are custom-made for each patient. Whether you’re dealing with minor adjustments or more complex cases, Invisalign provides a nearly invisible way to achieve your ideal smile.

Patient 1

Transfers

Patients who transferred from another orthodontist looking for better results, faster treatment progress, and excellent customer experience.

Patient 1
  • Four Corners Orthodontics & Dental - Before treatment
  • Four Corners Orthodontics & Dental - After treatment
  • Four Corners Orthodontics & Dental - Before treatment
  • Four Corners Orthodontics & Dental - After treatment
Patient 2
  • Four Corners Orthodontics & Dental - Before treatment
  • Four Corners Orthodontics & Dental - After treatment
  • Four Corners Orthodontics & Dental - Before treatment
  • Four Corners Orthodontics & Dental - After treatment
Patient 3
  • _Alicia Talk Before-Transfer
  • _Alicia Talk After-Transfer
  • Alicia Talk Before-Teeth Transfer
  • Alicia Talk After-Teeth Transfer

Wider Smile

A wider smile not only enhances your appearance but also improves dental function by creating more space for your teeth. Our treatments are designed to widen your smile, giving you the confidence to show it off.

Patient 1
Patient 2
Patient 3
Patient 4
  • Jeannie S Before-Wider Smile
  • Jeannie S After-Wider Smile
  • Jeannie S Before-Teeth Wider Smile
  • Jeannie S After-Teeth Wider Smile
Patient 5
  • Shaydreanna Before-Wide Smile
  • Shaydreanna After-Wide Smile
  • Shaydreanna Before- Wider Smile
  • Shaydreanna After- Wider Smile

Retreatment

Many patients come in for a restart or tune-up after experiencing a shift in their teeth. Restarts can be cheaper and take less time than full treatment.

Patient 1
  • Four Corners Orthodontics & Dental - Before treatment
  • Four Corners Orthodontics & Dental - After treatment
  • Four Corners Orthodontics & Dental - Before treatment
  • Four Corners Orthodontics & Dental - After treatment
Patient 2
Patient 3
Patient 4
  • Adelle A Before-Retreatment
  • Adelle A After-Retreatment
  • Adelle A Before-Teeth Retreatment
  • Adelle A After-Teeth Retreatment

Phase I Early Treatment

Phase I Early Treatment is critical for addressing potential orthodontic issues early, ensuring proper jaw development and alignment. By intervening at a young age, we can guide the growth of your child’s jaw and teeth to prevent more severe problems later on.

Patient 1
Patient 2
Patient 3
  • Jude E Before- Phase I Early Treatment
  • Jude E After- Phase I Early Treatment
  • Jude E Before-Teeth Phase I Early Treatment
  • Jude E After-Teeth Phase I Early Treatment

Combo

The orthodontic team and dental team work together to treat and correct various issues, creating a comprehensive smile transformation.

Patient 1
  • Four Corners Orthodontics & Dental - Before treatment
  • Four Corners Orthodontics & Dental - After treatment
  • Four Corners Orthodontics & Dental - Before treatment
  • Four Corners Orthodontics & Dental - After treatment
Patient 2
  • Four Corners Orthodontics & Dental - Before treatment
  • Four Corners Orthodontics & Dental - After treatment
  • Four Corners Orthodontics & Dental
  • Four Corners Orthodontics & Dental - After Orthodontic Treatment
Patient 3
Patient 4
Patient 5
Patient 6
Patient 7
Patient 8
  • Mike Culver Before- Combo Dental
  • Mike Culver After- Combo Dental
  • Mike Culver Before-Teeth Combo Dental
  • Mike Culver After-Teeth Combo Dental

Class II Extraction

Class II Extraction treatment is used when the upper teeth are positioned too far forward compared to the lower teeth. By carefully removing select teeth, we can guide the bite into better alignment and improve both function and facial balance.

Patient 1
  • Ashley M Before-Class II Extraction (New Section)
  • Ashley M After-Class II Extraction (New Section)
  • Ashley M Before-Teeth Class II Extraction (New Section)
  • Ashley M After-Teeth Class II Extraction (New Section)